Experience the Power of Waterlase All Tissue Laser
Deliver gentler, faster, and more precise treatments with Waterlase, the award-winning laser trusted by top clinicians worldwide. See it in action and schedule your FREE in-office demo today!
By: Dr. Wynn Okuda DMD, FAACD, FICOI, FICD
In today’s era of modern dentistry, predictable outcomes, minimally invasive techniques, and elevated patient experiences are no longer optional — they are expected. As a clinician, I have always believed that technology should enhance precision, improve healing, and create better long-term results for patients.
For over a decade, BIOLASE dental lasers have become an essential part of how I deliver advanced cosmetic dentistry, implant
My journey with BIOLASE dental lasers began more than 10 years ago with the Waterlase Express, eventually transitioning to the Waterlase iPlus Er,Cr:YSGG. As a clinician heavily focused on cosmetic dentistry, I was searching for a dental laser that could support gingivectomy procedures, closed-flap osseous recontouring, and crown lengthening that allowed me to achieve optimal esthetic outcomes.
When I discovered that the Waterlase iPlus could perform these procedures with precision and minimal trauma, the decision was immediate.
One of the most valuable features early on was the built-in pre-determined parameter settings. Having optimized presets for laser power, pulse repetition rate, water, and air settings, combined with clearly recommended laser tips, significantly reduced the learning curve. BIOLASE made advanced laser dentistry approachable, practical, and immediately implementable in a busy clinical environment.
Today, the Waterlase iPlus plays a role in a wide range of treatments in my practice, including:
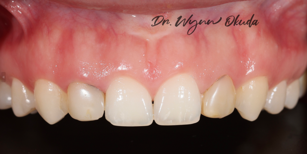
In cosmetic cases, precise gingival finessing often determines whether the final result looks good or exceptional. The Waterlase laser allows me to sculpt soft tissue with accuracy while minimizing bleeding and trauma. This translates into faster healing and improved patient comfort.
For implant and periodontal cases, the ability to decontaminate and sterilize surgical sites with laser energy offers a powerful clinical advantage.
FIGURE 1 (BEFORE)
FIGURE 2 (AFTER)
Patient perception matters. When patients learn that I am using advanced dental laser technology, there is an immediate sense of reassurance. They understand that they are receiving care at the highest level. More importantly, they experience the difference.
Laser-assisted procedures allow for minimally invasive treatment, reduced post-operative discomfort, and faster healing times. In many cases, there is minimal to no pain during recovery. This dramatically enhances the overall patient experience and builds long-term trust.
One of the most remarkable cases in my practice involved a 65-year-old patient with a severely compromised lower molar. Due to extensive distal root bone loss, the tooth was deemed unsalvageable by endodontic evaluation. (Figure 3)
The patient, however, wanted to save the tooth.
Following root canal therapy, I performed scaling and root planing using a mini-flap approach to meticulously remove granulation tissue. I then utilized the BIOLASE Waterlase iPlus with radial and side-firing tips to thoroughly sterilize the root surface and surrounding bony defect.
After de-epithelialization and decortication, a bone graft was placed to encourage regeneration.
Through minimally invasive surgical technique combined with laser-assisted sterilization, we were able to regenerate bone and preserve what was initially considered a hopeless tooth. Four years post-operatively, the tooth remains stable and fully functional. (Figure 4)
This case reinforced that Waterlase is transformative in regenerative and implant-related procedures.
The ability of laser energy to kill bacteria and sterilize surgical wound sites provides a distinct advantage in:
In my opinion, dental lasers are uniquely capable of thoroughly decontaminating implant surfaces and surrounding bones, something that is extremely difficult to achieve with traditional instruments alone.
As implant dentistry continues to grow, so does the need for predictable peri-implant disease management. I foresee a future where every dental practice integrates laser technology as a standard of care.
Adopting new technology can feel intimidating, especially when it comes to laser dentistry. What sets BIOLASE apart is their commitment to continuing education, clinical training, and user-friendly systems that help bridge the knowledge gap.
The laser’s pre-set procedural parameters simplify implementation while still allowing customization for advanced users. Additionally, the support from my local BIOLASE representatives in Honolulu, including Antone Morreale and Matt Moniz, has consistently been exceptional. While technology is important, the support and education BIOLASE provides make it sustainable.
For my cosmetic, implant, and restorative patients, the Waterlase iPlus has been a true game changer. Minimally invasive treatment, faster healing, improved patient comfort, and expanded clinical capability have elevated the level of care I can deliver.
Dental lasers are not simply an adjunct. They represent the evolution of modern dentistry. As dentistry continues to advance, I firmly believe that laser technology will become foundational in practices committed to delivering excellence in all aspects of dentistry.
For clinicians looking to elevate their standard of care, expand treatment options, and enhance patient outcomes, integrating BIOLASE Waterlase technology is a powerful step forward.
Deliver gentler, faster, and more precise treatments with Waterlase, the award-winning laser trusted by top clinicians worldwide. See it in action and schedule your FREE in-office demo today!
Dr. Okuda is the 2002 – 2003 National President of the American Academy of Cosmetic Dentistry (AACD), an international lecturer at conferences and universities around the world for over 30 years and past editor of numerous award-winning professional dental publications, including the Journal of Cosmetic Dentistry. He is a Fellow of the International College of Dentists, Fellow of the International Congress of Oral Implantologists, and former Executive Council member for the International Federation of Esthetic Dentistry (IFED) and former Board member of the AACD. In 2014, Dr. Okuda achieved Accredited Fellow status with the AACD. He is only the 83rd dentist in the world to attain this status in the Academy’s 40-year history.
The American Academy of Cosmetic Dentistry asked Dr. Okuda to perform a cosmetic smile makeover in the first-ever “live patient” program at the 2014 AACD Orlando meeting. In addition, he was asked by the American Dental Association to perform in their “Live patient” program in 2009 (Hawaii) and 2011(Las Vegas) at the ADA Annual Scientific Session.
Dr. Okuda was the Esthetic Dentistry Expert to the National Dental Expert Advisory Board of the Academy of General Dentistry (AGD) with over 40,000 members, and on the Advisory Board for Best Dentists of America (one of ten nationally). Dr. Okuda was also the Esthetic Columnist for a prestigious General Dentistry publication for ten years. Over the last 16 years, Dr. Okuda has been selected into Dentistry Today’s Top 100 List and is currently a faculty lecturer at the UCLA School of Dentistry.
To learn more about Dr. Wynn Okuda, visit okudacosmeticdentistry.com.
By: Dr. Wynn Okuda DMD, FAACD, FICOI, FICD
In today’s era of modern dentistry, predictable outcomes, minimally invasive techniques, and elevated patient experiences are no longer optional — they are expected. As a clinician, I have always believed that technology should enhance precision, improve healing, and create better long-term results for patients.
For over a decade, BIOLASE dental lasers have become an essential part of how I deliver advanced cosmetic dentistry, implant
My journey with BIOLASE dental lasers began more than 10 years ago with the Waterlase Express, eventually transitioning to the Waterlase iPlus Er,Cr:YSGG. As a clinician heavily focused on cosmetic dentistry, I was searching for a dental laser that could support gingivectomy procedures, closed-flap osseous recontouring, and crown lengthening that allowed me to achieve optimal esthetic outcomes.
When I discovered that the Waterlase iPlus could perform these procedures with precision and minimal trauma, the decision was immediate.
One of the most valuable features early on was the built-in pre-determined parameter settings. Having optimized presets for laser power, pulse repetition rate, water, and air settings, combined with clearly recommended laser tips, significantly reduced the learning curve. BIOLASE made advanced laser dentistry approachable, practical, and immediately implementable in a busy clinical environment.
Today, the Waterlase iPlus plays a role in a wide range of treatments in my practice, including:
In cosmetic cases, precise gingival finessing often determines whether the final result looks good or exceptional. The Waterlase laser allows me to sculpt soft tissue with accuracy while minimizing bleeding and trauma. This translates into faster healing and improved patient comfort.
For implant and periodontal cases, the ability to decontaminate and sterilize surgical sites with laser energy offers a powerful clinical advantage.
FIGURE 1 (BEFORE)
FIGURE 2 (AFTER)
Patient perception matters. When patients learn that I am using advanced dental laser technology, there is an immediate sense of reassurance. They understand that they are receiving care at the highest level. More importantly, they experience the difference.
Laser-assisted procedures allow for minimally invasive treatment, reduced post-operative discomfort, and faster healing times. In many cases, there is minimal to no pain during recovery. This dramatically enhances the overall patient experience and builds long-term trust.
One of the most remarkable cases in my practice involved a 65-year-old patient with a severely compromised lower molar. Due to extensive distal root bone loss, the tooth was deemed unsalvageable by endodontic evaluation. (Figure 3)
The patient, however, wanted to save the tooth.
Following root canal therapy, I performed scaling and root planing using a mini-flap approach to meticulously remove granulation tissue. I then utilized the BIOLASE Waterlase iPlus with radial and side-firing tips to thoroughly sterilize the root surface and surrounding bony defect.
After de-epithelialization and decortication, a bone graft was placed to encourage regeneration.
Through minimally invasive surgical technique combined with laser-assisted sterilization, we were able to regenerate bone and preserve what was initially considered a hopeless tooth. Four years post-operatively, the tooth remains stable and fully functional. (Figure 4)
This case reinforced that Waterlase is transformative in regenerative and implant-related procedures.
The ability of laser energy to kill bacteria and sterilize surgical wound sites provides a distinct advantage in:
In my opinion, dental lasers are uniquely capable of thoroughly decontaminating implant surfaces and surrounding bones, something that is extremely difficult to achieve with traditional instruments alone.
As implant dentistry continues to grow, so does the need for predictable peri-implant disease management. I foresee a future where every dental practice integrates laser technology as a standard of care.
Adopting new technology can feel intimidating, especially when it comes to laser dentistry. What sets BIOLASE apart is their commitment to continuing education, clinical training, and user-friendly systems that help bridge the knowledge gap.
The laser’s pre-set procedural parameters simplify implementation while still allowing customization for advanced users. Additionally, the support from my local BIOLASE representatives in Honolulu, including Antone Morreale and Matt Moniz, has consistently been exceptional. While technology is important, the support and education BIOLASE provides make it sustainable.
For my cosmetic, implant, and restorative patients, the Waterlase iPlus has been a true game changer. Minimally invasive treatment, faster healing, improved patient comfort, and expanded clinical capability have elevated the level of care I can deliver.
Dental lasers are not simply an adjunct. They represent the evolution of modern dentistry. As dentistry continues to advance, I firmly believe that laser technology will become foundational in practices committed to delivering excellence in all aspects of dentistry.
For clinicians looking to elevate their standard of care, expand treatment options, and enhance patient outcomes, integrating BIOLASE Waterlase technology is a powerful step forward.
Deliver gentler, faster, and more precise treatments with Waterlase, the award-winning laser trusted by top clinicians worldwide. See it in action and schedule your FREE in-office demo today!
Dr. Okuda is the 2002 – 2003 National President of the American Academy of Cosmetic Dentistry (AACD), an international lecturer at conferences and universities around the world for over 30 years and past editor of numerous award-winning professional dental publications, including the Journal of Cosmetic Dentistry. He is a Fellow of the International College of Dentists, Fellow of the International Congress of Oral Implantologists, and former Executive Council member for the International Federation of Esthetic Dentistry (IFED) and former Board member of the AACD. In 2014, Dr. Okuda achieved Accredited Fellow status with the AACD. He is only the 83rd dentist in the world to attain this status in the Academy’s 40-year history.
The American Academy of Cosmetic Dentistry asked Dr. Okuda to perform a cosmetic smile makeover in the first-ever “live patient” program at the 2014 AACD Orlando meeting. In addition, he was asked by the American Dental Association to perform in their “Live patient” program in 2009 (Hawaii) and 2011(Las Vegas) at the ADA Annual Scientific Session.
Dr. Okuda was the Esthetic Dentistry Expert to the National Dental Expert Advisory Board of the Academy of General Dentistry (AGD) with over 40,000 members, and on the Advisory Board for Best Dentists of America (one of ten nationally). Dr. Okuda was also the Esthetic Columnist for a prestigious General Dentistry publication for ten years. Over the last 16 years, Dr. Okuda has been selected into Dentistry Today’s Top 100 List and is currently a faculty lecturer at the UCLA School of Dentistry.
To learn more about Dr. Wynn Okuda, visit okudacosmeticdentistry.com.